Ihr Lächeln in den besten Händen
Zahnerhaltung und kosmetische Restaurationen
In unserer Zahnarztpraxis setzen wir auf modernste Technologien und ein eigenes Labor für hochwertige, kosmetische Restaurationen. Ausführliche und transparente Beratung unter Berücksichtigung der individuellen Bedürfnisse eines jeden einzelnen Patienten, sowie eine einfühlsame, sanfte und möglichst schmerzfreie Behandlung ohne Termindruck, sind uns sehr wichtig.
Wir sind für Sie tefefonisch oder per mail erreichbar:
Telefon: 08071 4499 mailto:anmeldung@drposch.de
- So – Sa
- Geschlossen
Montag bis Freitag: 8h bis 12h
Montag Nachmittag: 13:30h bis 17:00h
Dienstag & Donnerstag Nachmittag: 14:00h - 17:00h

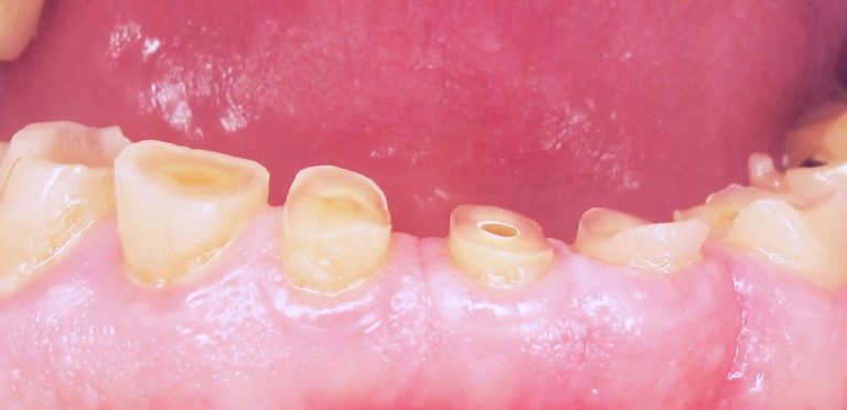
Zahnerhaltung
nachhaltige Lösungen für die Gesundheit Ihrer Zähne. Auch nach Unfällen, innerhalb einer Behandlung als Kunststoffaufbau wiederhergestellt

Anmeldung
Praxissoftware mit vielen digitalen Funktionen unterstützt uns von der Anmeldung bis zur Terminerinnerung,
per Mail

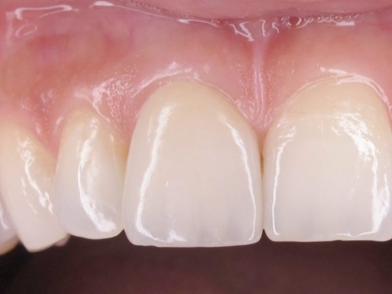
Eigenes Labor
Innovative Technologien für natürliche Kronen (linker Frontzahn, Krone 2012), Veneers und Zahnersatz, auch auf Implantate.

DVT Röntgen
digitale, strahlenreduzierte Röntgentechnik
2D in allen Behandlungszimmern und 2D (Panorama)+
3D (DVT) im Röntgenraum
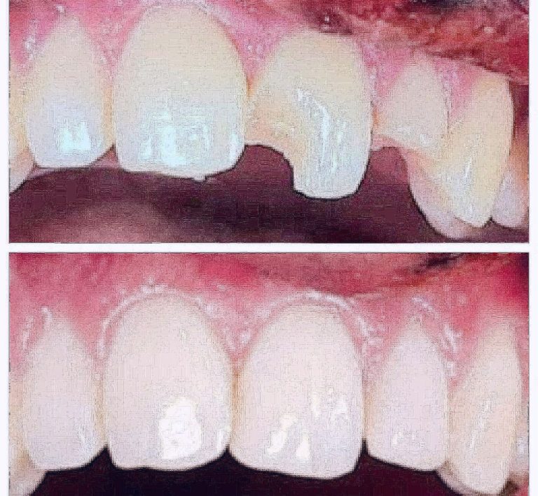
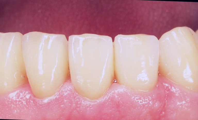
kosmetische Restaurationen
Hochwertige ästhetische Versorgiung. Laborgefertigter metallfreier Zahnersatz, für Ihr strahlendes Lächeln.



Behandlung
moderne Behandlungsstühle und beste Materialien helfen uns, Ihre Zähne hochwertig und langlebig zu versorgen
Wegbeschreibung
Herrengasse 21. 83512 Wasserburg am Inn.
Parken bis zu 4h kostenlos unter der Rampe und Parkhäuser,
Parkplatz am Gries und wenige Parkplätze direkt vor der Praxis (ab 9h gebührenpflichtig)
Zahnarztpraxis Dr. med dent Manfred Posch
Ihre Gesundheit ist unser Anliegen
Wir bieten umfassende zahnmedizinische Leistungen:
Zahnerhaltung mit hochwertigen langlebigen Materialien, Zahnersatz, Entspannungsschienen bei Zähneknirschen, Zahnkorrekturen mit transparenten Schienen, Bleaching, Parodontose Behandlungen, Wurzelbehandlungen mit elektronischen Meßgeräten, Extrusionen bei abgebrochenen Zähnen, Prophylaxe von klein auf und wenn es mal zu weit fehlt, ein eigenes Labor für besondere kosmetische Restaurationen, auch auf Implantate.